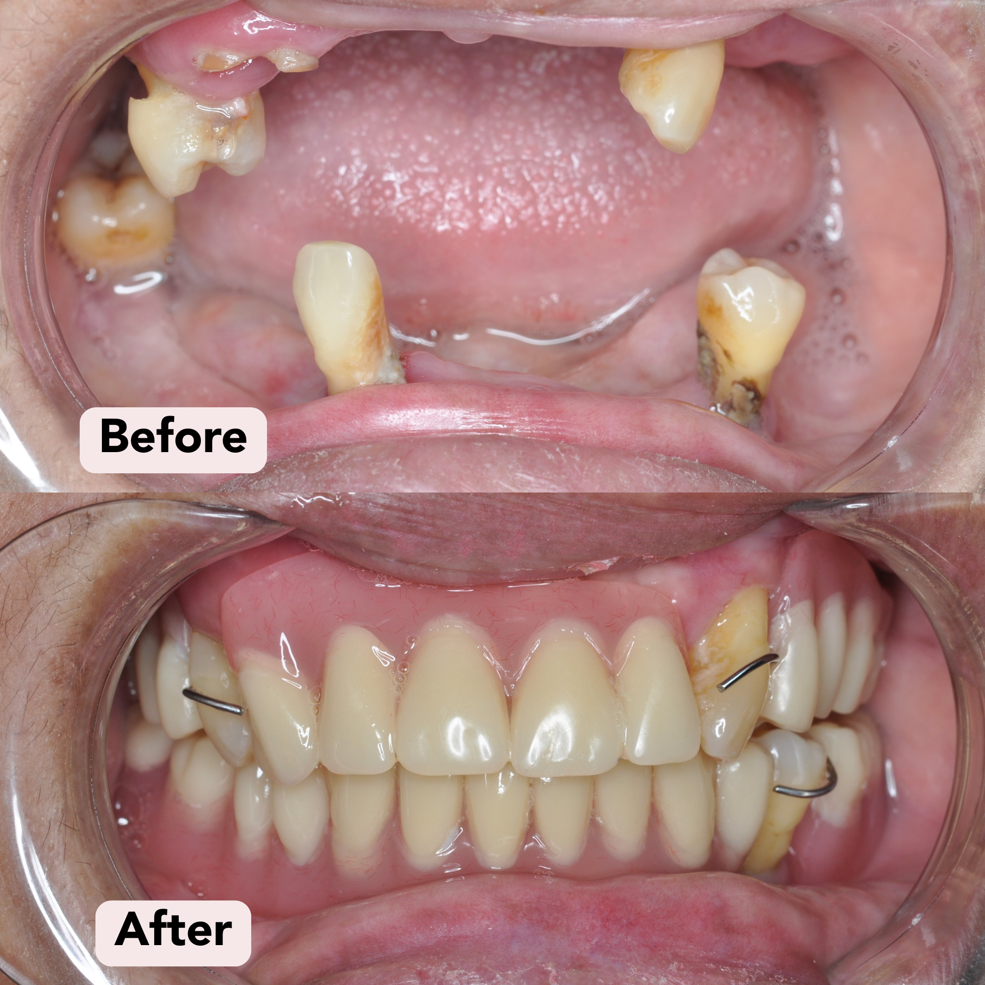
SMILE MAGIC: BEFORE & AFTER

We believe seeing is believing. Browse our before-and-after gallery to discover how simple, caring treatments, whether it’s a quick whitening session or a full smile makeover, can give you the confident, healthy grin you deserve. These real patient stories show what’s possible when expert hands, gentle care, and advanced technology come together.

Your smile’s next chapter could start here!

Dentures & Veneers

Braces

Chipped, Gaps & Fillings

Creating the perfect smile with composite veneers.